In diesem Beitrag zeigen wir Ihnen, wie wir versuchen auch für Patienten, die nicht viel Geld in ihren Zahnersatz investieren können, noch ästhetische Ergebnisse zu erzielen.
In this paper, we show you how we try , for patients who can not invest a lot of money in their dentures, yet to achieve aesthetic results.
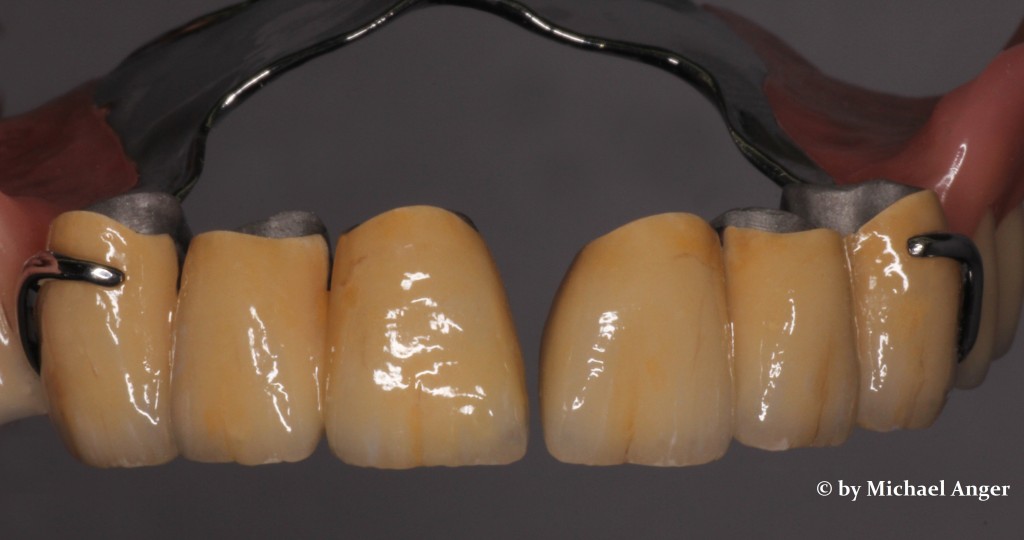
Im ersten Fall haben wir verblendetes NEM mit Klammern kombiniert.
In the first case we combinated veneered Steel with clasps.
Zumindest für die Verblendungen wurde versucht, dem Restzahnbestand des Unterkiefers und der Ausgangssituation gerecht zu werden….
At least for the facings was trying to get the remaining teeth of the lower jaw and the initial situation justice ….
Über palatinale gefräste Lager in der Kombination mit Klammern wird die Prothese stabil gelagert und die Kronen werden sicher gefasst.
About palatal milled shear distributer in combination with clasps, the prosthesis is stably stored and the crowns shall be taken safely.
Die palatinalen Fräsungen werden hier in 0° im Metallgerüst ausgeführt.
The palatal millings are carried out here in 0 ° in the metal framework.
Um Schleimhautreizungen zu verhindern wird die Gaumenplatte basal hochglanzpoliert und mit einem Abschlussrand versehen, der sich in die Gingiva einlagert.
In order to prevent irritation of the mucosa the palate plate is basal highly polished and fitted with a terminating edge intercalates into the gingiva .
In Richtung der Zunge wird eine genarbte Oberflächenstruktur benutzt um das Wenden der Nahrung zu erleichtern. Dennoch sollte auch diese Oberfläche sorgfältig poliert sein.
In the direction of the tongue a grained surface structure is used to facilitate the turning of the food. Nevertheless, these surface should be carefully polished.
Hier noch Detailaufnahmen der gefrästen Lager mit Interlocks.
Here the detail-views of the shear-distributers with interlocs.
Bei der Herstellung der Interlocks sollte man darauf achten eine echte Omega-Form zu erzeugen.
By designing the interlocs we should take care to shape a real omega.
Und die Passung der Schubverteiler.
And the fitting of the shear-distributer.
Ich hoffe, dieser Artikel hat Ihnen gefallen.
I hope you like this article.
Michael Anger
Zur Übersicht :
To the overview :
Your independent e-learning & support platform!








